Art & Science of Dentistry

芸術的医術&科学的根拠ある治療

日本歯科専門医機構認定
「矯正歯科 専門医」

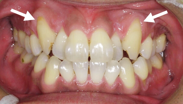
歯科医院でインプラントにしましょうと言われた
でも、歯を残す選択をしたい方に
歯周再生治療

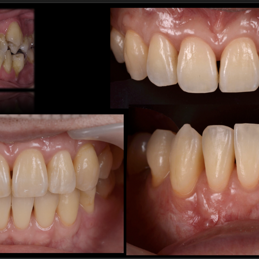
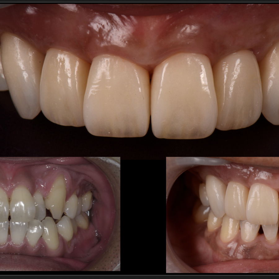
歯並びを治すだけの
成人矯正で本当にいいのでしょうか?
矯正歯科専門サイトへ

Healing the Best is Offered

滝の流れが奏でるせせらぎが創り出す、癒しの空間

Clinic Tour

当院の臨床研究に関する重要なお知らせ

[情報公開]
文部科学省、厚生労働省による制定されている「人を対象とする医学系研究に関する倫理指針」に基づき、当院が行っている臨床研究での公開すべき情報を掲載しております。

[オプトアウト]
通常、臨床研究を実施する際には、文書もしくは口頭で説明・同意を行い実施します。臨床研究のうち、患者さまへの侵襲や介入もなく診療情報等を用いる研究等については、国が定めた指針に基づき、対象となる患者さまのお一人ずつから直接同意を得る必要はありませんが、研究の目的を含めて、研究の実施情報を公開し、さらに拒否の機会を保証することが必要とされております。このような手法を「オプトアウト」と言います。オプトアウトを用いた臨床研究は下記のとおりです。なお、研究への協力を希望されない場合は、下記文書内に記載されている各研究の担当者までお知らせ下さい。

> 2023年2月24日 医学系研究に関するお知らせ

DOCTOR

理事長・院長
綿引 淳一
Junichi Watahiki

審美と健康の⻑期的な両⽴には、健全な⻭周組織と健康的な⻭並びが基本であると考え、
可能な限り天然⻭を保存し、審美と健康の⻑期的な両⽴を⽬指したエビデンス(科学的根拠)に
基づいた治療を基礎研究レベルから実際の臨床まで真剣に取り組んでおります。


資格

・歯学博士
・日本歯科専門医機構認定 矯正歯科
 専門医
・日本矯正歯科学会臨床指導医・
 認定医
・日本歯周病学会 認定医
・日本口腔インプラント学会 専修医
・昭和大学歯科矯正学教室 兼任講師
・日本包括的矯正歯科学会(JIOS)代表
・Dental Brain Inc.

経歴

・1999年 昭和大学歯学部卒業
・1999年 昭和大学歯科矯正科入局
・2004年 日本矯正歯科学会認定医取得
・2004年 昭和大学歯科矯正学大学院卒業 博士号取得
・2006年 AQUA日本橋DENTAL CLINIC 開設 代表就任
・2007年〜 昭和大学歯学部歯科矯正学教室 兼任講師 就任
・2008年 医療法人社団 Teeth Alignment 理事長 就任
・2008年 理化学研究所脳科学総合研究所 客員研究員 就任
・2009年〜2011年 ニューヨーク大学 インプラント科CDEコース在籍・修了
・2011年 和光堂株式会社 商品開発コンサルタント 就任
・2023年 Dental Brain Inc. 就任

BLOG


医院からのお知らせ

2026.04.25
ゴールデンウィーク休診のお知らせ

当院は4月29日(水)と5月3日(日)〜5月6日(水)ゴールデンウィーク休診になります。

5月7日(火)から通常診療になりますので、よろしくお願いいたします。